ー抜歯しても‘‘下げてはいけない‘‘と判断する理由ー
「口元を下げたいので抜歯矯正を希望しています」
カウンセリングで、実際にこのように明確なご希望をお持ちの方は少なくありません。
そして多くの方が
- 抜歯すれば前歯は後ろに下がる
- 抜歯すれば口元も必ず改善する
と考えています。
しかし、
【抜歯したい】という希望と
【抜歯すべきかどうか】という判断は全く別物です。
実際には
- 抜歯しても、下げてはいけないケース
- 抜歯すると逆にリスクが高くなるケース
が確実に存在しています。
ここで一度立ち止まって考えてみてください。
もし仮に
本来は抜歯してはならない骨や歯の条件があるにも関わらず
「ご希望通りですから」と患者さんの要望を優先し、
抜歯を行って治療を進めた場合
その場では満足できたとしても、将来どうなるでしょう。
- 噛みにくさや違和感がある
- 歯ぐきが下がってきた
- 歯がぐらついてきた
- 後戻りが早く起こる
こうしたトラブルは
治療直後ではなく、数年後に現れることが多いのが特徴です。
その時「当時、抜歯を希望されましたよね」
と言われてしまったら
その結果に対して、だれが責任を持つのでしょうか。
一方で、当院では患者さんの強いご希望があったとしても
検査結果をもとに
骨や歯根の状態を客観的に説明し、
できること、できないことを明確に伝え、
将来起こり得るリスクも説明した上で
「抜歯を勧めません」
「この方法では口元の改善は限定的です」
と正直にお伝えしております。
その説明は、
その場での期待を下回る内容に感じるかもしれません。
しかしそれは、
将来のトラブルを未然に防ぐための医学的判断です。
- 希望通りの治療を今すぐしてくれる歯科医院
- 検査と診断をもとに、リスクも含めて説明してくれる歯科医院
長い目で見て
どちらの歯科医院に自分の歯を任せたいでしょうか。
今回のブログでは
「抜歯をして口元を下げたい」という主訴があっても
抜歯を勧めない判断に至る医学的根拠を
わかりやすく説明していきます。
目次
抜歯すれば下げられる、とは限らない理由
まず知っておいていただきたいことが、
抜歯は【口元を下げる治療】ではないということです。
抜歯とは
歯を安全に動かすためのスペースを作る処置です。
そのスペースをどのように使うかによって、治療の結果は大きく変わります。
実際に口元が下がるかどうか決めているのは
そのスペースに歯を安全に移動できるかどうかです。
つまり、
抜歯しても歯を後ろへ動かしてはいけない状態であれば
口元を下げる治療は勧められない
というケースが確実に存在します。
また、抜歯で生まれたスペースは
- 前歯の後退
- 叢生の改善
- 臼歯部の咬合の改善
- 歯の傾きや歯軸の改善
など、複数の目的に使われます。
以下の症例はCT等で骨の厚みを確認した上で
第一小臼歯を抜歯することになった。

~上顎リンガルブラケット装着~
前歯の前突(傾斜)改善、抜歯後のスペース閉鎖を目指し治療中。

多くの方が「抜歯して口元を下げる」と聞いて
イメージする症例です。
他にも
前突を伴わない重度叢生の症例でも
抜歯してスペースを確保することがあります。
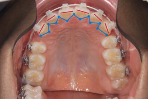
治療前

第一小臼歯抜歯後1カ月経過。
中切歯と犬歯の間にオープンコイルを入れ
側切歯のスペース作り開始。

抜歯後5カ月経過。側切歯にブラケット装着。

抜歯後10カ月経過。舌側にリンガルボタンを装着。
パワーチェーンを使ってスペース閉鎖中。
前歯にスペースが開かないように、犬歯~犬歯を連続結紮。

このような重度叢生の場合も抜歯して作った
スペースを利用しレベリングをするケースもあります。
判断の基準は「歯槽骨」と「歯根の位置」
前歯を後退させるということは
歯根を内側(舌側・口蓋側)の骨に近づける動きになります。
この時重要になるのが
- 歯を支えている歯槽骨の厚み
- とくに、ほとんど動かない皮質骨の位置
- 歯根が骨のどこに存在しているか です。

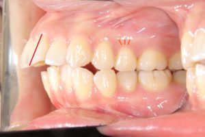
矯正治療前

赤い線が切端ライン
青い線が歯頚部ラインです。
抜歯後8カ月経過

唇側に向いていた切端ラインが
抜歯後内側(口蓋側)に向いています。
このように前歯を後退できるのは
精密検査時のCTデータで
骨の厚み、歯根の位置を立体的に把握し
前歯を下げても骨や歯肉に無理が生じないことを
事前に確認した上で治療を行うからです。
精密検査の結果
- 骨がもともと薄い
- 歯根がすでに骨壁のギリギリにある
- これ以上動かすと、骨が外に出てしまう
と判断される場合
抜歯して前歯を下げることは医学的に勧められません。
これは
『出来ない』のではなく
**『やってはいけない』**という判断です。
口元を下げられるケース
ここまで読むと
「では、どんな場合なら口元を下げられるのか」
と疑問に思われるでしょう。
一般的に前歯を安全に後退できるケースには
次のような条件がそろっています。
- 歯槽骨に十分な厚みがある
- 前歯が前方に傾斜している
- 口元が前突している
- 歯根が骨の中心付近に位置している
さらに、矯正治療では
歯をどこまで動かせるかだけでなく、
その結果として顔貌がどのように変化するか
を事前に予測する必要があります。
その際に用いられるのがVTP(Visual Treatment Prediction)です。

VTPとは
セファロ(側方頭部X線規格写真)を用いて
歯や顎をどの位置まで移動させた場合に
- 口元がどの程度変化するか
- 横顔のバランスがどのように変わるか
- 噛み合わせはどの位置で安定するか
を事前にシミレーションする診断方法です。
例えば、
抜歯して出来たスペースを利用して
前歯を後退させる治療を行う場合でも、
「どこまで下げられるか」ではなく
「どこまで下げると顔貌のバランスが最も良くなるのか」
をVTPによって検討します。
つまり矯正治療では
歯列だけを見て治療方針を決めるのではなく
顔貌の変化を含めた治療結果を事前に予測した上で診断が行われています。
この考え方は、矯正治療において古くから重要視されており、
以下の文献でも、歯列だけではなく、
難組織のプロファイルを治療計画に含める必要がある
と明記されています。
Rolf Holdaway
Holdaway RA.
A soft-tissue cephalometric analysis and its use in orthodontic treatment planning.
American Journal of Orthodontics. 1983.
PubMed
https://pubmed.ncbi.nlm.nih.gov/6578814/
「抜歯をしない=安全」でもない
ここでもうひとつ重要な点があります。
抜歯してはいけないケースがある一方で
「必ず抜かない矯正」が安全とは限らないという事実です。
非抜歯で無理に治療を成立させようとすると
- 歯列を過剰に拡大する
- 前歯を強く傾斜させる
- 骨の限界まで歯を押し出す
といった操作が必要になることがあります。
その結果、
- 歯肉退縮
- 歯根の骨外逸脱
- 噛み合わせの不安定
- 治療後の後戻り
といったリスクが高まる場合もあります。
つまり、
抜歯が危険なのではなく
非抜歯が危険なのでもなく
診断を無視した治療、
正確な診断ができていない治療が危険なのです。
抜歯か非抜歯かは「結果」が決めるのではなく「診断」で決める
矯正において最も重要なのは
抜歯か非抜歯かではなく
その方の骨・歯根・噛み合わせの条件に
どの方法が無理なく成立するか
を見極めることです。
そのためには
- CTによる歯槽骨の評価
- 歯根の位置と向きの確認
- 顔貌や噛み合わせの分析
を総合的に行い、
できること
できないこと
やるべきこと
やってはいけないこと
を明確にする必要があります。
矯正相談で確認しておきたいポイント
矯正相談の場において
「抜歯すれば必ず下がります」
「当院は絶対に抜歯をしません」
と言った結果を断言する説明がなされることがあります。
一見すると明確で分かりやすく、患者さんに安心感を与える表現ですが、
医学的な立場から見るとこうした説明は慎重にするべきです。
しかし矯正治療において
『絶対』という言葉が使われる場面こそ注意が必要です。
むしろ、
- 限界を説明する
- リスクを隠さない
- 期待値を正直に伝える
歯科医院こそが
診断を大切にしている医院だと考えます。
診断とは「可能性を広げる作業」ではない
矯正治療の診断というと
『どこまで下げられるか』
『どのくらい動かせるか』
といった可能性を広げる作業と思われる方も居るでしょう。
しかし、実際に行っていることはその逆です。
診断とは、
どこまでなら動かしても問題が起こらないか
どこから先はリスクが急激に高まるのか
を明確に線引きする作業です。
特に前歯の後退は
歯の移動量そのものよりも
歯根と歯槽骨の位置関係によって可否が決まります。
この線引きを誤ると
短期的には「口元が下がった」「きれいになった」
と感じられても、長期的には歯や歯肉の支持を失い
取り返しのつかない結果に繋がることがあります。
「やらない判断」ができるかどうか
医療において最も難しい判断のひとつが
「やらない」という決断です。
抜歯をすれば治療は成立しやすくなります。
非抜歯であれば患者さんの心理的負担も少なく済みます。
しかし、そのどちらも
『その方の条件に合っていなければ』
選ぶべきではありません。
まとめ
診断とは「安全な限界を見極めること」
矯正治療における診断とは
理想をどこまで追えるかを競う作業ではありません。
むしろ
その方の骨・歯根・噛み合わせという
動かせない条件の中で
- どこまでなら安全に動かせるか
- どこから先が不可逆的なリスクになるのか
その境界線を正確に見極めることが診断です。
抜歯か非抜歯か
どれだけ口元を下げられるか
どの装置を使うのか。
これらは診断の『結果』であって
診断そのものではありません。
本来の診断とは
希望を実現するための方法を探すことではなく、
将来を損なわないための制限を明確にすることです。
だからこそ
「抜歯は勧めません」
「これ以上は下げられません」
「その変化にはリスクが伴います」
そうした説明がなされるとき
それは消極的な医療ではなく
医学的に責任を取ろうとする姿勢の表れです。
矯正治療で本当に信頼すべきなのは
可能性を広げる言葉ではなく
限界を正確に説明できる診断です。
その線引きがあって初めて、
長期的に安定した、後悔のない治療が成立します。
「やらない判断」ができるかどうか。
それこそ、診断の質に表れます。
ここまで述べてきたように
矯正治療の診断は、
「何が出来るか」を探す作業ではなく
どこまでなら安全かを見極めるものです。
抜歯か非抜歯か、
口元は下げられるかどうかは、
希望の治療法の名前で決まるものではありません。
歯・歯根・歯槽骨の条件によって
選べる治療と選べない治療が決まります。
以下では
矯正相談でよくいただく質問について
整理してお答えいたします。
Q1. 抜歯矯正をすれば、口元は必ず下がりますか?
いいえ、必ずしもそうとは限りません。
口元が下がるかどうかは
「歯を何本抜くか」ではなく、
前歯の歯根を後方へ安全に移動できるかで決まります。
歯根がすでに歯槽骨の限界に近い場合、
抜歯をしても前歯は思うように下がらず、
無理に動かせば骨や歯肉を失うリスクが高くなります。
Q2.非抜歯矯正は、歯や歯肉に優しい治療ですか
条件が合っていれば優しい治療ですが、
条件が合わなければ危険な治療になります。
非抜歯矯正では、
歯列の拡大や前歯の唇側傾斜によってスペースを作ることがあります。
しかし、歯根がすでに唇側の歯槽骨に近い場合、
非抜歯での拡大は歯根を骨の外へ押し出す治療
になりかねません。
Q3.口元を下げたい場合、必ず抜歯が必要ですか?
必ずしもそうではありません。
前歯の傾斜改善だけで、
口元の印象が変わるケースもありますし、
抜歯してもほとんど変わらないケースもあります。
これは口元の突出感が骨格性の要因なのか、
歯性の要因かによって大きく異なります。
Q4.「できるだけ抜歯しない方がいい」と聞きましたが本当ですか?
一概には言えません。
抜歯を避けること自体が目的になると、
前歯の突出や歯周組織への負担が生じ、
長期的な安定性を損なうことがあります。
重要なのは、
抜歯するかどうかではなく、その方の条件に合っているかどうかです。
Q5.「何㎜くらい前歯を下げられますか」と聞いてもいいですか?
数字だけで答えることはできません。
安全に動かせる量は
歯根と歯槽骨の位置関係、骨の厚み、
歯周組織の状態によって一人ひとり異なります。
矯正診断で重要なのは
**「何㎜動かせるか」ではなく
「どこまでなら安全か」**です。
Q6.抜歯矯正と非抜歯矯正、どちらが治療期間は短いですか?
症例によって異なります。
一般的には抜歯矯正の方が
治療期間が長くなる傾向ですが、
無理な非抜歯矯正では、
歯の移動が滞り、結果的に長期化することもあります。
治療期間よりも
治療後に歯が長期に安定するかどうかが重要です。
Q7.矯正後に歯肉が下がることはありますか?
条件次第では起こることがあります。
歯槽骨が薄い場合や、歯根が骨の限界を超えて動いた場合、
治療後に歯肉退縮が生じることがあります。
そのリスクを事前に評価するために
CTによる診断が重要になります。
Q8.口元を下げたいという希望は、どこまで治療に反映されますか?
口元を下げられるかどうかは
審美的な希望ではなく、歯・歯根・歯槽骨の条件によって
決まります。
条件が整っていない場合、
前歯を希望通りに後退させることは
長期的なリスクを伴うため選択されません。
Q9.なぜ医院によって診断が違うのですか?
見ている情報量と、線引きの基準が違うからです。
レントゲン中心の診断か、
CTを用いた立体的な評価を行っているか
どこに安全域を設定しているかによって
治療方針は変わります。
Q10.診断の段階で、何を確認すべきですか?
「なぜその治療方針になるのか」という診断上の理由です。
なぜ抜歯という判断になったのか、
なぜ非抜歯ではリスクが高いのか、
なぜ口元を下げる、あるいは下げられない、
結論に至ったのか。
それらが、印象や経験則ではなく、
歯・歯根・歯槽骨といった客観的な条件に基づいて
説明されているかが重要です。
治療法の説明はカウンセリング時にもされますが、
その根拠は必ず診断の段階で整理されているはずです。
長期的に安定した治療をご希望の方は是非カウンセリングへ!!
お電話もしくは公式LINEからご予約受付中です!
ご質問もお気軽にどうぞ!

お問い合わせお待ちしております。
みずの矯正歯科
TEL:052-981-2211
MAIL:info@mizuno-kyouseishika.com
<診療時間>
平日:10:00~13:00 14:30~19:00
土日:10:00~13:00 14:30~18:00
休診日:月曜、木曜、日曜(隔週)、祝日


