TREATMENT

マウスピース型装置の矯正
(インビザライン/エンジェルアライナー)

名古屋市北区みずの矯正歯科

マウスピース矯正装置とは

矯正治療を検討中だが、ごつごつした金属の装置をつけることに抵抗があり、今一歩踏み出せないという方が多くいらっしゃいました。 しかし、最近注目のマウスピース型装置の矯正(インビザライン)は、透明で、薄いプラスチックでできていますので、目立ちません。また、歯の表面に金属の装置をつける一般的な矯正治療に比べて、舌触りも自然です。
自分で取り外しができるので、食事や歯磨きの際は自分で取り外すことも可能です。

※ インビザライン/エンジェルアライナーは完成物薬機法対象外の矯正装置であり、承認薬品を対象とする医薬品副作用被害救済制度の対象外となる場合があります。

マウスピース矯正
見た目 痛み 食事 費用 対象症例
一般的な
矯正治療
× × × すべての人
マウスピース型
装置による矯正

透明なのでほとんど見えない
取り外し
可能
限定的

※スマートフォンでの閲覧の方は、 こちら をご覧ください。

マウスピース型矯正装置は、非抜歯による矯正治療(歯を抜かない矯正治療)に効果的な矯正治療システムです。
ワイヤーを使った一般的な矯正治療より、"歯列を広げる"働きと、"歯列を奥に動かす"働きが優れています。 この理由は、多くの歯に一定の力をかけるマウスピース型矯正装置(インビザライン)ならではの治療だからです。コンピュータによるシミュレーションなしでは、このような動きは実現できませんでした!成人の方でも"抜歯をしなくても"矯正治療が出来る可能性が広がりつつあります。

※ インビザライン/エンジェルアライナーは完成物薬機法対象外の矯正装置であり、承認薬品を対象とする医薬品副作用被害救済制度の対象外となる場合があります。

マウスピース矯正
歯列自体の側方への拡大

歯列を広げる力があります

奥歯の後方への移動

歯列全体を後ろに下げる作用があります

マウスピース型矯正装置のメリットデメリット

メリット

  • 透明で目立たない
  • 装置の違和感が少ない
  • 通院回数が少ない
    (通常の矯正治療は3〜4週に1回の通院ですが、マウスピース型装置では4~6週に1回の通院です。)
  • 痛みが少ない
    (コンピュータで歯にかかる力を計算。矯正装置の中でも、最も痛みが少ない装置です。)
  • 予知性が高い治療
    (3Dコンピュータでシミュレートするので、前歯の微妙な角度まで事前に予測。)
  • 矯正治療中もお食事も楽しめます

デメリット

  • 装置を使用しないと治療が進まない
    (1日20時間以上)
  • 補助装置が必要な場合がある
    (歯の移動距離が大きい場合は、マウスピース型装置治療以外にその他の装置を短期間併用する場合もあります。)

※ インビザライン/エンジェルアライナーは完成物薬機法対象外の矯正装置であり、承認薬品を対象とする医薬品副作用被害救済制度の対象外となる場合があります。

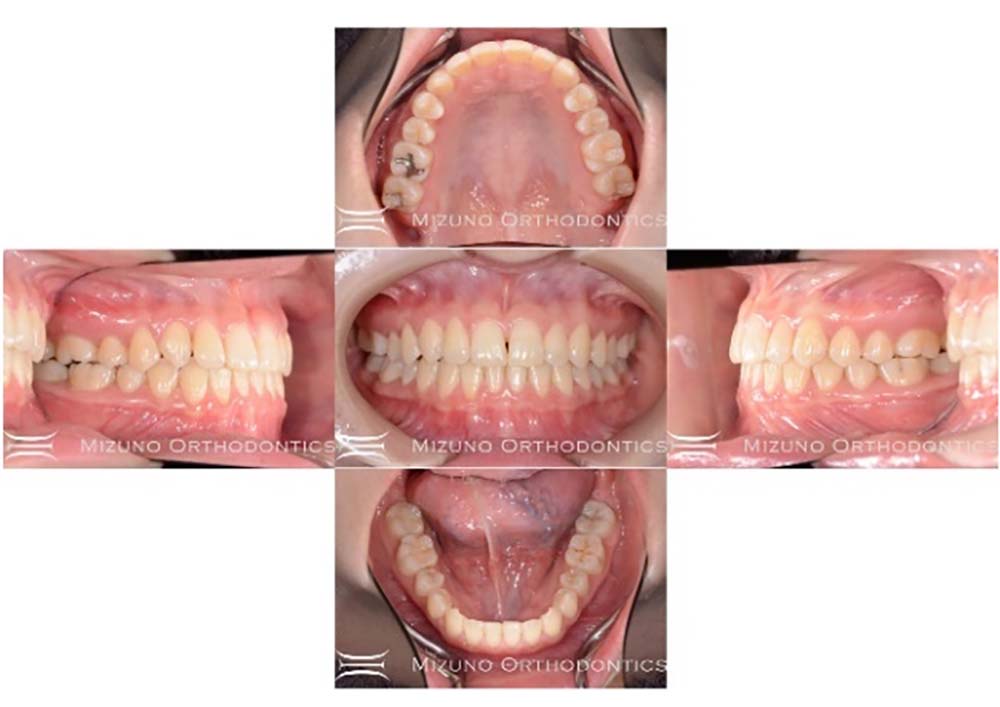
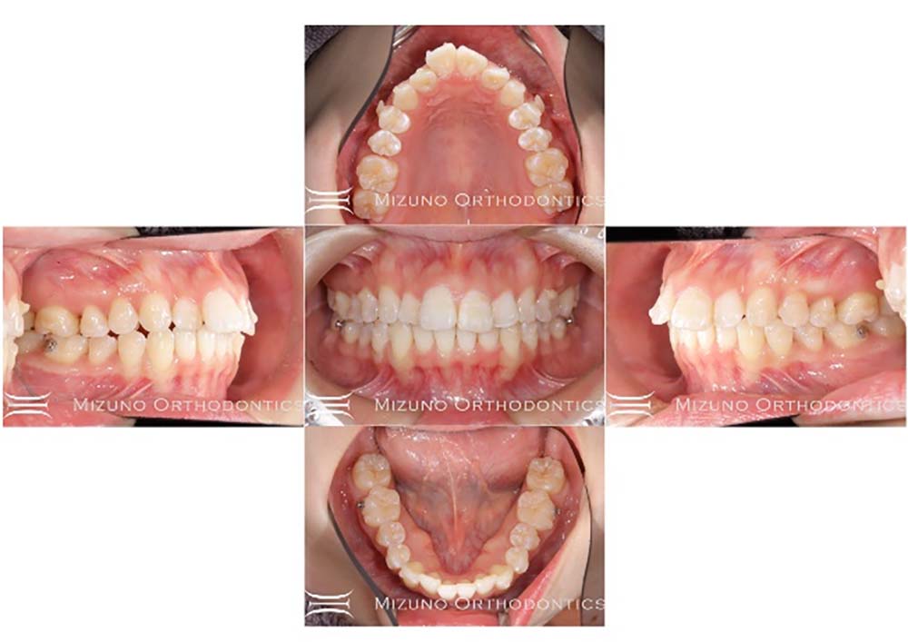
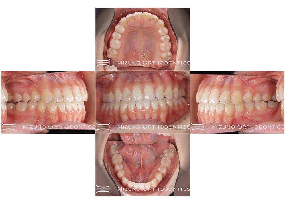
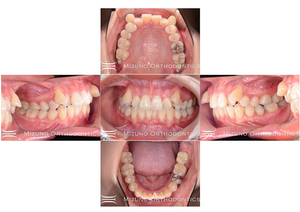
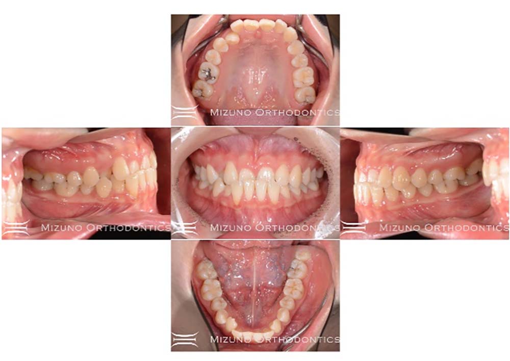
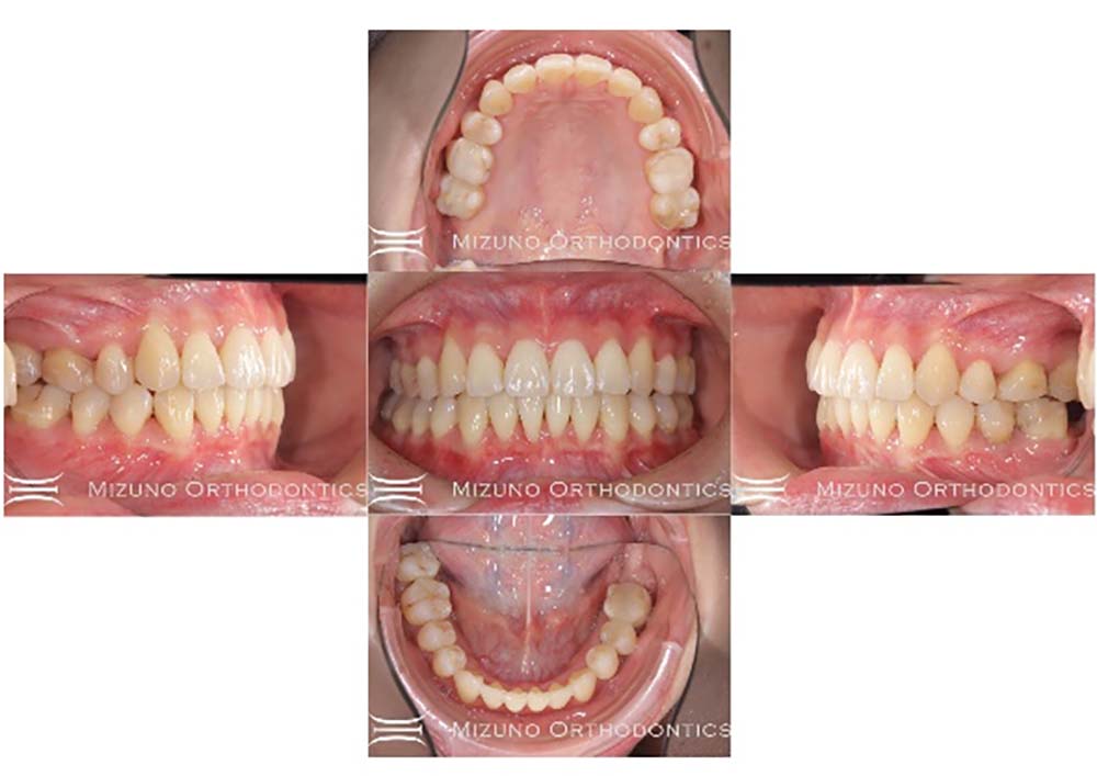
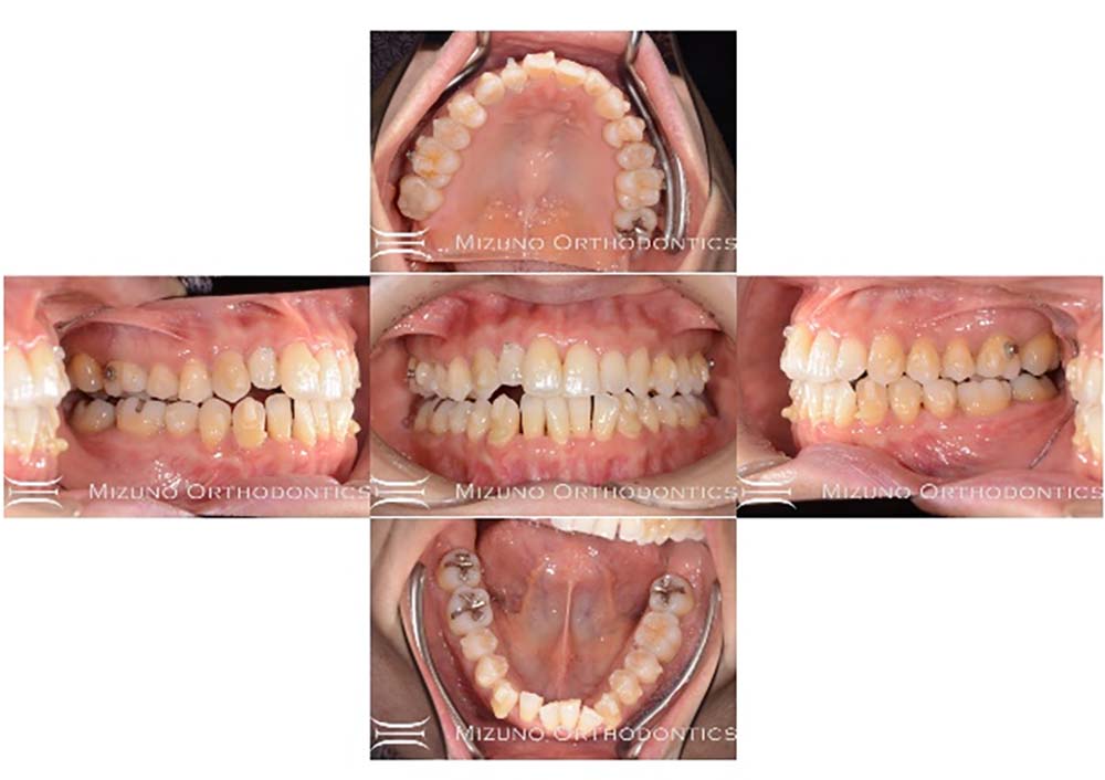
マウスピース型矯正装置の症例1

マウスピース矯正 症例画像

治療前

マウスピース矯正 症例画像

装着時

装置をつけているのがほとんどわかりません。

性別 女性|年齢 19歳

主訴 ガタガタ
治療装置 マウスピース型矯正装置(インビザライン)
抜歯 なし
治療期間 1年3か月

ガタガタを解消するために、歯列の拡大とストリッピングを行い歯を配列しました。

※ インビザライン/エンジェルアライナーは完成物薬機法対象外の矯正装置であり、承認薬品を対象とする医薬品副作用被害救済制度の対象外となる場合があります。

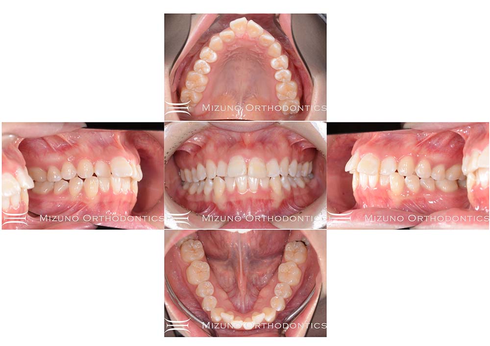
矯正前

インビザライン 症例画像

治療中

インビザライン 症例画像

治療後

インビザライン 症例画像

治療費概算

検査診断料 ¥50,000+tax
マウスピース型矯正装置(インビザライン) ¥850,000+tax
処置料 ¥5,000+tax /毎回

※ 料金は治療時の金額です。物価により変動することがあります。

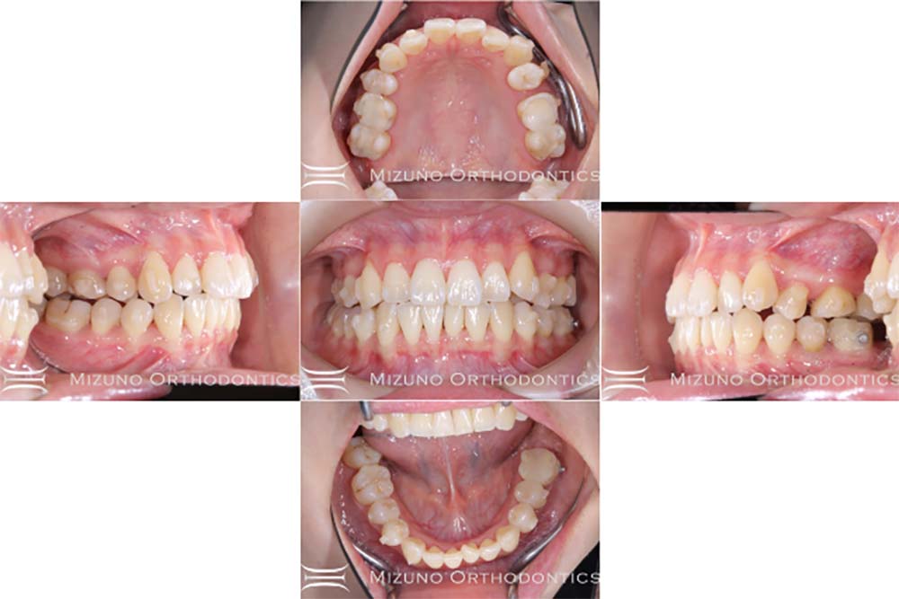
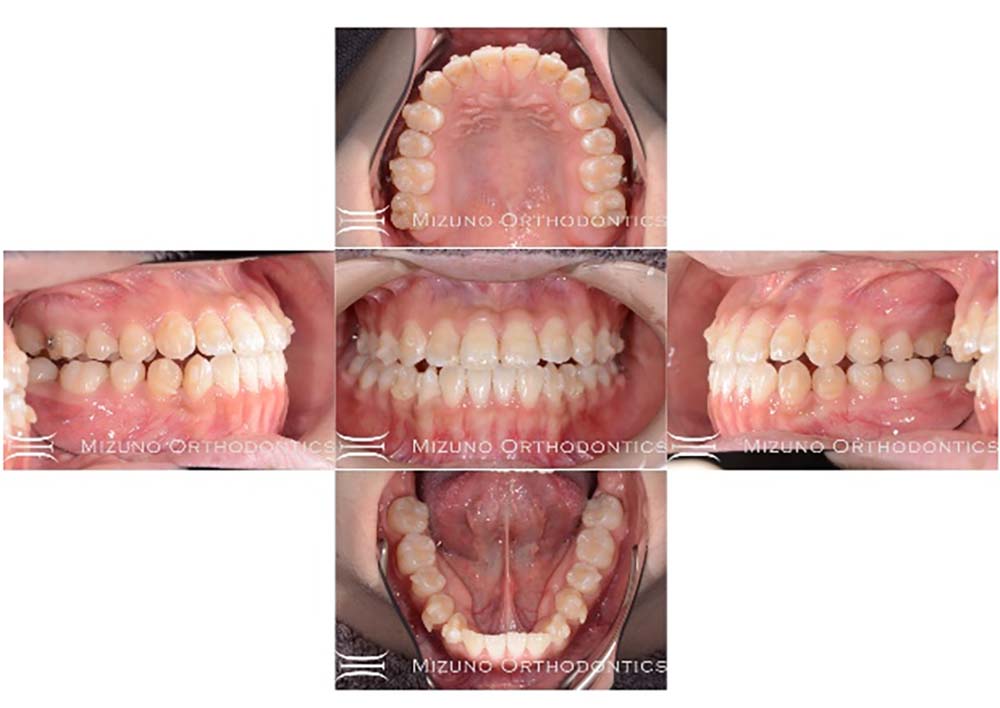
マウスピース型矯正装置の症例2

性別 女性|年齢 21歳

主訴 受け口
治療装置 マウスピース型矯正装置(インビザライン)
抜歯 下顎左側親知らず
治療期間 約2年
診断名 骨格性Ⅲ級、Angle classⅢ、叢生、反対咬合
副作用 痛み・治療後の後戻り・歯根吸収・歯髄壊死・歯肉退縮

※ インビザライン/エンジェルアライナーは完成物薬機法対象外の矯正装置であり、承認薬品を対象とする医薬品副作用被害救済制度の対象外となる場合があります。

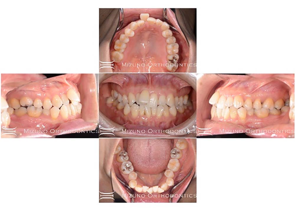
矯正前

インビザライン 症例画像

矯正治療中

インビザライン 症例画像

矯正後

インビザライン 症例画像

矯正前

インビザライン 症例画像

矯正後

インビザライン 症例画像

治療費概算

検査診断料 ¥50,000+tax
マウスピース型矯正装置(インビザライン) ¥900,000+tax
処置料 ¥5,000+tax /毎回

※ 料金は治療時の金額です。物価により変動することがあります。

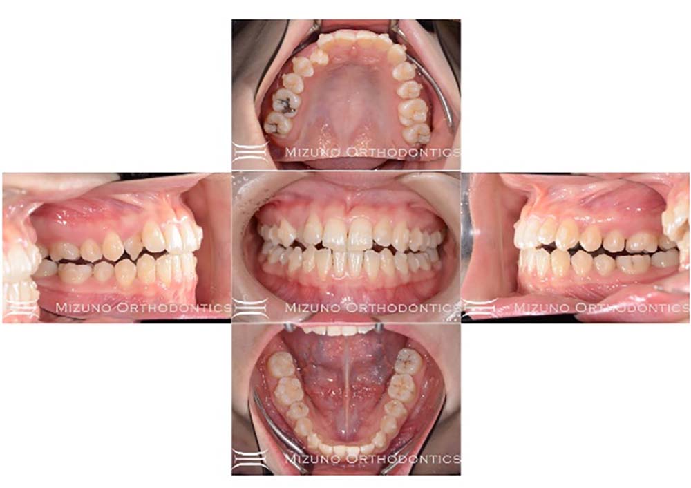
マウスピース型矯正装置の症例3

性別 女性|年齢 48歳

主訴 ガタガタ、出っ歯
治療装置 マウスピース型矯正装置(インビザライン)
抜歯 なし
治療期間 約2年7ヶ月
診断名 骨格性Ⅲ級、Angle classⅢ、叢生
副作用 痛み・治療後の後戻り・歯根吸収・歯髄壊死・歯肉退縮

※ インビザライン/エンジェルアライナーは完成物薬機法対象外の矯正装置であり、承認薬品を対象とする医薬品副作用被害救済制度の対象外となる場合があります。

矯正前

インビザライン 症例画像

矯正治療中

インビザライン 症例画像

矯正後

インビザライン 症例画像

治療費概算

検査診断料 ¥50,000+tax
マウスピース型矯正装置(インビザライン) ¥900,000+tax
処置料 ¥5,000+tax /毎回

※ 料金は治療時の金額です。物価により変動することがあります。

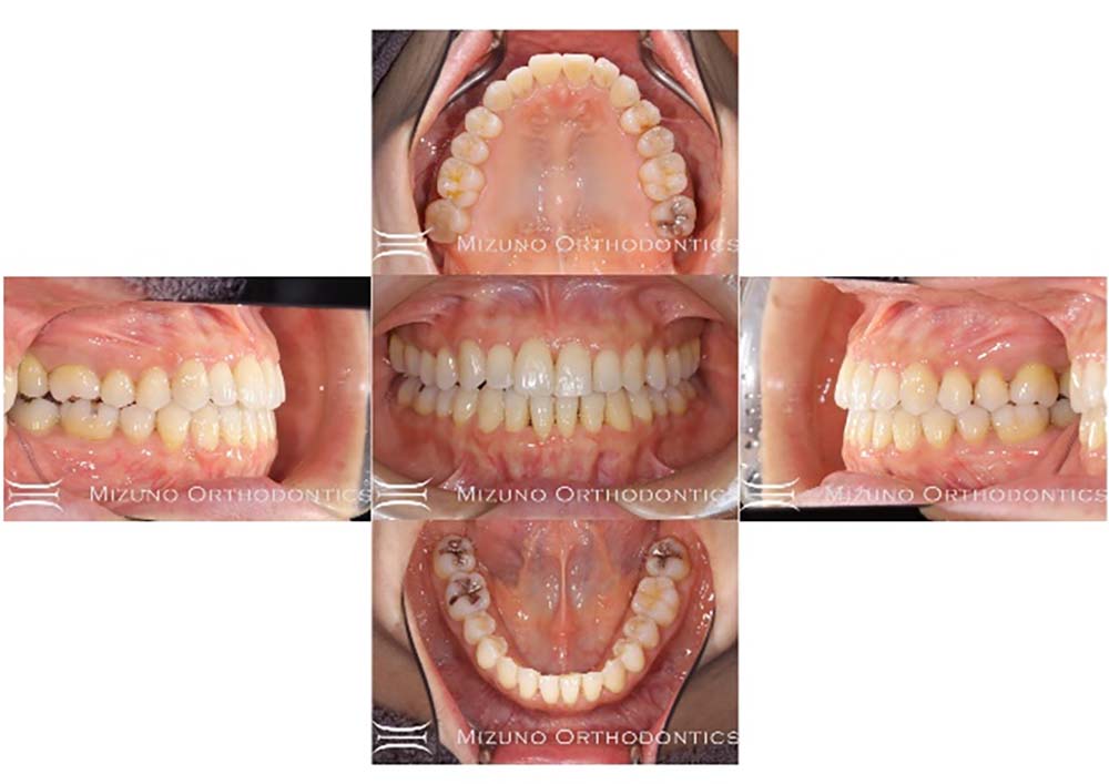
マウスピース型矯正装置の症例4

性別 女性|年齢 24歳

主訴 出っ歯
治療装置 マウスピース型矯正装置(インビザライン)
抜歯 上顎右側親知らず、下顎左右親知らず
治療期間 約1年11ヶ月
診断名 骨格性Ⅰ級、Angle classⅠ、叢生
副作用 痛み・治療後の後戻り・歯根吸収・歯髄壊死・歯肉退縮

※ インビザライン/エンジェルアライナーは完成物薬機法対象外の矯正装置であり、承認薬品を対象とする医薬品副作用被害救済制度の対象外となる場合があります。

矯正前

インビザライン 症例画像

矯正治療中

インビザライン 症例画像

矯正後

インビザライン 症例画像

矯正前

インビザライン 症例画像

矯正後

インビザライン 症例画像

治療費概算

検査診断料 ¥50,000+tax
マウスピース型矯正装置(インビザライン) ¥950,000+tax
処置料 ¥5,000+tax /毎回

※ 料金は治療時の金額です。物価により変動することがあります。

マウスピース型矯正装置の症例5

性別 女性|年齢 25歳

主訴 受け口、口元の突出
治療装置 マウスピース型矯正装置(インビザライン)
抜歯 下顎左右親知らず
治療期間 約2年8ヶ月
診断名 骨格性Ⅲ級、Angle class Ⅲ、叢生、交叉咬合
副作用 痛み・治療後の後戻り・歯根吸収・歯髄壊死・歯肉退縮

※ インビザライン/エンジェルアライナーは完成物薬機法対象外の矯正装置であり、承認薬品を対象とする医薬品副作用被害救済制度の対象外となる場合があります。

矯正前

インビザライン 症例画像

矯正治療中

インビザライン 症例画像

矯正後

インビザライン 症例画像

矯正前

インビザライン 症例画像

矯正後

インビザライン 症例画像

治療費概算

検査診断料 ¥50,000+tax
マウスピース型矯正装置(インビザライン) ¥950,000+tax
処置料 ¥5,000+tax /毎回

※ 料金は治療時の金額です。物価により変動することがあります。

マウスピース型矯正装置の症例6

性別 女性|年齢 25歳

主訴 ガタガタ、出っ歯
治療装置 マウスピース型矯正装置(インビザライン)
抜歯 上下顎左右親知らず、上顎左右小臼歯
治療期間 約2年10ヶ月
診断名 骨格性Ⅰ級、Angle class Ⅱ、叢生
副作用 痛み・治療後の後戻り・歯根吸収・歯髄壊死・歯肉退縮

※ インビザライン/エンジェルアライナーは完成物薬機法対象外の矯正装置であり、承認薬品を対象とする医薬品副作用被害救済制度の対象外となる場合があります。

矯正前

インビザライン 症例画像

矯正治療中

インビザライン 症例画像

矯正後

インビザライン 症例画像

矯正前

インビザライン 症例画像

矯正後

インビザライン 症例画像

治療費概算

検査診断料 ¥50,000+tax
マウスピース型矯正装置(インビザライン) ¥900,000+tax
補足装置代 ¥60,000+tax ※アンカースクリュー2本分
処置料 ¥5,000+tax /毎回

※ 料金は治療時の金額です。物価により変動することがあります。

マウスピース型矯正装置を使った矯正治療の補助装置

マウスピース型矯正装置を使用する際、補助装置が必要な場合があります。

・補助装置によって矯正治療をスムーズに、正しく歯を動かします。
・当院では補助装置の追加料金はありません。(アンカースクリューは別料金となります)

※ インビザライン/エンジェルアライナーは完成物薬機法対象外の矯正装置であり、承認薬品を対象とする医薬品副作用被害救済制度の対象外となる場合があります。

アタッチメント

アタッチメント

歯の移動を補助するための装置で白いプラスチックを歯に直接付けます。

※アタッチメントを付ける部位は歯並びの状態によって異なります。

顎間ゴム

顎間ゴム

歯の移動を補助するための装置で、噛み合わせを整えます。上の歯には白いプラスチック、下の歯には金属のボタンを歯に付けてゴムをかけます。

※ゴムかけは患者様自身で行っていただきます。 使用時間不足などのご協力が得られない場合、治療期間が延びてしまいます。

アライナーチューイ

アライナーチューイ

アライナーと歯の密着度合いを高める器具です。アライナーを装着した状態で、アライナーチューイを噛むことで、アライナーがギュッと押され、歯との密着度が高まることにより矯正治療効果が高くなります。

マウスピース型矯正装置に関するよくある質問

当院では、歯並びに関する疑問や、矯正治療に関する不安を解決する矯正相談(カウンセリング)を行っています。カウンセリングを受診したからといって当院で矯正治療をしなければならないということはございません。

詳しく話を聞きたいという方は、初回カウンセリング(相談)もご利用下さい。

マウスピース型矯正装置
(インビザライン/エンジェルアライナー)
薬機法未承認医薬品

①未承認医薬品等であること

マウスピース型矯正装置(インビザライン/エンジェルアライナー)は医薬品医療機器等法(薬機法)の承認を受けていない未承認医薬品です。

②入手経路

マウスピース型矯正装置(インビザライン)は米国アラインテクノロジー社の製品であり、インビザライン・ジャパン株式会社を介して入手しています。
マウスピース型矯正装置(エンジェルアライナー)は中国のAngelalign Technology Inc.の製品であり、日本国内では正規導入クリニックを通じて入手・治療を行っています。

③国内の承認医薬品等の有無

国内にもマウスピース型矯正装置として医薬品医療機器等法(薬機法)の承認を受けているものは複数存在します。

④諸外国における安全性に係る情報

マウスピース型矯正装置(インビザライン)は1997年にFDA(米国食品医薬品局)により医療機器として認証を受けています。
マウスピース型矯正装置(エンジェルアライナー)は、中国国家薬品監督管理局(NMPA)により医療機器として認証されており、また欧州連合のCEマークを取得しているほか、米国FDAに対しても医療機器(Class II)としての登録がなされています。

⑤マウスピース型矯正装置(インビザライン/エンジェルアライナー)は完成物薬機法対象外の矯正歯科装置であり、承認薬品を対象とする医薬品副作用被害救済制度の対象外となる場合があります。