カウンセリングで来院される患者さんで多くの方が不安に感じているのが
矯正治療の痛み・治療期間についてです。
中には痛み・治療期間の点から矯正自体を諦めてしまっている方もいるのではないでしょうか😭
じつは最新の矯正装置では治療中の痛みは少なく、治療期間は短くすることが出来るのをご存知でしたか?
今回はそんないいところ取りの矯正装置、セルフライゲーションブラケットについてご紹介します!
負担の大きい従来のワイヤー固定方法
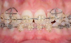
ワイヤー矯正の場合、ブラケットと呼ばれる装置を歯に直接つけて
そこにワイヤーを通して力を加えることで歯をちょっとずつ動かしていきます。

従来のブラケットではワイヤーを固定するために、
細い針金でグルグル巻きに縛り付ける必要がありました。

この処置は結紮(けっさつ)と呼ばれます。
がっちりと結ぶため、ワイヤーがブラケットに強く押し付けられることで摩擦が生じ、
歯が動きにくかったり、強く力をかける必要があるので痛みを強く感じることがあります。
またひとつひとつ結紮をしていくので診療中はお口を長時間開ける必要があり、
患者さんの負担に…😭
月に一回とはいえ、調整中の負担やその後の痛みのことを思うと
歯医者さんに来るのが億劫になってしまいますよね😱
そんな負担の大きい結紮をしなくても、セルフライゲーションシステムでは治療をすることができます!
セルフライゲーションシステムとは?
セルフライゲーションシステムではブラケット自体にワイヤーを固定するためのシャッターがついています。

このシャッターを開け閉めすることで簡単にワイヤーの装着ができます!

セルフライゲーションシステムの特徴
①痛みが少ない
セルフライゲーションシステムブラケットではワイヤーをガチガチに固定するのではなく
ブラケットとワイヤーの間に若干の遊びがある状態でワイヤーを固定できます。

遊びが無くガチガチに固定する結紮に比べ、摩擦抵抗がとても軽減されるため
弱い力で歯を動かせるので感じる痛みが少ないです。
②歯が動きやすい
上記でも説明したようにセルフライゲーションシステムブラケットでは
弱い力で歯をスムーズに動かすことが出来ます。
さらに開閉式のシャッターによって合計四つの面でブラケットとワイヤーが接するので
歯の動きをさら精密にコントロールしやすくなりました。

③目立ちにくく清掃しやすい
従来では結紮のために細い金属のワイヤーを使用するので
ブラケット自体が透明でも金属色が目立ってしまうことがありました。
また結紮線の周りにプラークが溜まりやすく歯ブラシも難しかったですが

セルフライゲーションシステムブラケットではメーカーによって
オールセラミックのものもあるのでより歯になじみやすいです😊
ブラケットの形もよりシンプルになったのでセルフケアもしやすく虫歯のリスクも抑えられます!

④診療中の負担が少ない
従来ではひとつひとつ結紮をしていたので患者さんのお口を開ける時間がながく、
ワイヤー交換だけでも一苦労でしたが、セルフライゲーションシステムブラケットでは
カチッとシャッターで開閉するだけなのでお口を開ける時間が少ないです!
スムーズにワイヤー交換できるので、
その分クリーニングや舌のトレーニングに時間をかけられます✨

最近ではセルフライゲーションシステムブラケットを使用している歯医者さんも多く、
従来の矯正治療のイメージよりも快適に治療が出来る装置が多くあります。
セルフライゲーションシステムブラケットでもメーカーによって
見た目や機能性に若干の差はあるのでカウンセリングで実際に質問してみましょう!



