矯正治療の目的は歯並びを綺麗に整えることだと思われがちですが
矯正治療のゴールは、綺麗な歯並びと正常な噛み合わせを獲得するところまでです!
そのため矯正治療を始めるときの精密検査では口腔内の状況だけでなく
CTやレントゲンで顎の関節の状況をチェックします。

その際に顎の関節に異常が見つかった場合は、
歯を動かす治療の前にまずは顎関節の状態を改善させる必要があります。
その際に使用されるのが ”スプリント” と呼ばれる装置です。

スプリントの使用することで状態によっては矯正治療の仕上がりを大きく変える可能性があります。
スプリントとはどんな治療なのか、どのように使用するのか
今回はあまり詳しく紹介されることのないスプリント治療についてご紹介します!
スプリントの目的
顎関節内には関節円板(かんせつえんばん)と呼ばれる組織があります。
関節円板は下顎の出っ張った骨(下顎頭)と上顎のくぼみ(下顎窩)の間に存在し、
顎が動いた時に骨同士がぶつからないようにクッションのような役割を果たします。

この関節円板は不正咬合や歯ぎしりなどが原因でズレが生じる場合があります。
関節円板がズレてしまうと顎の動きに制限がかけられ、
適切な位置で噛むことが難しくなってしまいます。
噛み合わせにズレがあるままだと適切な治療計画が立てられず
本来必要なかったはずの抜歯をして矯正治療を行ってしまったり
矯正治療後に顎の関節の痛みが強く出たり、
取り返しのつかない失敗に繋がってしまうことも…😨
そのため矯正治療をする前の精密検査では顎関節の検査を入念に行う必要があります。
検査をして顎の関節に異常がある場合は、
歯を動かす前にまずは関節円板の位置を本来の正しい位置に安定させる必要があります。
その際に使用する装置がスプリントです。
スプリントの使い方
スプリント治療では正常な位置で噛めるように調整されたマウスピース型の装置を就寝時に使用します。
使い始めは違和感があって眠りにくかったりしますが徐々に慣れてきますよ😊
違和感が強いうちは眠る少し前からスプリントをつけて慣れさせるのがおすすめです。

しっかり使えていると噛み合わせは徐々に変化していくので
それに合わせて月に1回、歯科医院でマウスピースの調整をしていきます。
※顎の位置の変化があると一時的に顎関節に痛みが生じることがあります。
その場合は痛みが落ち着くまでスプリントの使用をいったんお休みしましょう。
どのくらい使う?
スプリントの使用期間は個人差がありますが大体半年~1年ほど。
顎位が正常に近づいたと判断されたら、再度レントゲンや型取りなどの資料を採り
改めて分析~診断を行ったのち、通常通りの歯を動かす治療に移行していきます。

顎関節セルフチェック

✅口を開けると顎の関節からカクカク音が鳴る
✅口を開けると顎の関節からシャリシャリ音が鳴る
✅口がスムーズに開かない
✅口が大きく開けられない
✅口を開け閉めすると痛みがある
✅片頭痛や肩こりがある
これらの症状がある方はスプリント治療が必要となる可能性があります。
しかし、これらのいわゆる顎関節症の症状は実は2人に1人は経験するとされており
特に若い女性の方は症状がでやすいものとなっています…😢
症状が当てはまったら必ずスプリント治療が必要になるわけではなく
CT撮影などの精密検査の結果、必要があればスプリント治療を提案しています。
スプリントで顎関節症は改善される?
スプリントの使用で顎位が安定することで顎関節症の症状が改善する場合があります。
さらに顎関節や口腔周囲の筋肉の緊張がほぐれるため
筋肉の過緊張からくる肩こりや頭痛などの症状が緩和されることも!
しかし顎関節症の原因はとても複雑で、噛み合わせ以外にも多数あるとされており
精神的なストレスや頬づえ、TCH(歯列接触癖)などの日常の習慣が多数合わさることで
顎関節症の症状が出てしまう場合があります。

そのため人によってはスプリント治療だけでは
残念ながら顎関節症の改善が難しい場合が多いです…
もし顎関節症の症状を改善させたい場合は口腔外科で専門的な治療を受けることをおすすめします。
スプリント治療の症例
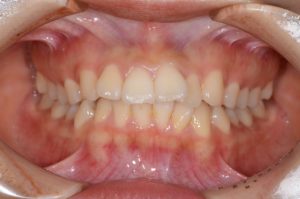
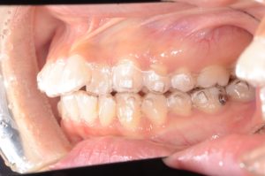
22歳女性 スプリント後にインビザライン矯正へ
【スプリント治療前】



約4ヵ月間、就寝時にスプリント使用していただきました。
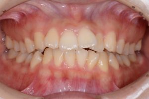
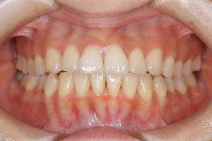
【スプリント治療後】



歯並びは変わっていませんが、顎の位置が正常に安定したことで
噛み合わせの位置が変化していることが分かります。
正しい位置で咬めるようになったためインビザラインに移行します。
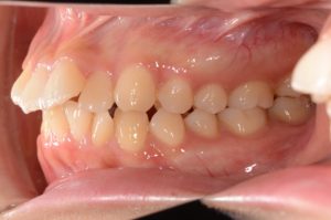
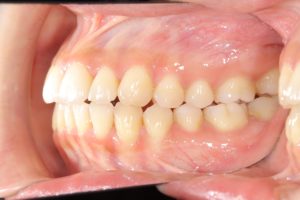
【インビザラインにて動的治療スタート】



約2年6ヵ月、インビザラインによる非抜歯での動的治療。
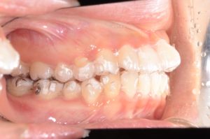
【動的治療終了時】



スプリントの期間も合わせると約3年で歯並び、噛み合わせともにしっかり整いました。
この状態がキープできるようリテーナー(保定装置)に切り替え、保定期間に入ります。
まとめ
今回はスプリントの使用方法と効果についてご紹介しました🦷
矯正治療をする上で土台となる顎の状態はとても重要であり
自覚症状がなくても顎の関節に異常がある場合があります。
そしてその状況をしっかりとキャッチし、改善した上で矯正治療を行うことが出来るように
歯科医院選びもとても重要となります。
矯正治療のプロである日本矯正歯科学会の認定医以上であることと
歯科用のCTなどの設備があるかどうか、
顎関節の検査をしっかり行っているか確認した上で病院を選ぶのがおすすめです😊
無料カウンセリング実施中✨
お話を聞くだけでももちろんOKです!
ぜひご気軽にご相談ください😊
カウンセリングの詳細やご予約はこちらから🦷
Instagramはこちら🦷
お問い合わせはLINEからでも可能です✅



