矯正治療を受けるときに、「抜歯が必要かどうか」という問題が
多くの患者さんにとって不安の種となります。

歯並びや噛み合わせを改善するための矯正治療では、
必ずしも抜歯が必要とは限りませんが、時には抜歯が有効な選択肢となる場合もあります。
そこで、今回は矯正治療における抜歯の判断基準について詳しく解説します。
【矯正治療で抜歯が必要か?】
抜歯が必要な理由
矯正治療で抜歯を行う理由は主に次のようなものです。
①歯の並ぶスペースが足りない
多くの場合、矯正治療で抜歯が必要になるのは、
歯並びを整えるために歯のスペースが足りないときです。

歯並びが非常に乱れている場合や、歯の位置が極端にずれている場合、
抜歯してスペースを作り、歯を動かす必要があります。
これにより、全体的に整った歯並びを作ることができます。
②顎の骨の大きさと歯の大きさのバランス
一部の患者さんでは、歯の大きさと顎の骨の大きさが不均衡であることがあります。
例えば、歯が大きいにもかかわらず、顎の骨が小さい場合、
歯を動かすために十分なスペースが確保できません。
この場合、抜歯を行うことで、歯を適切に配置できるようにします。
抜歯を避けるための選択肢
一方で、抜歯をせずに矯正治療を行う方法もあります。
最近では抜歯を避ける治療法も進化しており、
以下のような方法が選択肢として考えられます。
① 歯の形や角度を工夫する
抜歯を避けるために、歯を少し削ることで、スペースを確保する方法があります。
IPRと言われるこの方法は、エナメル質をごく微量削ります。
この方法は、抜歯することなく、歯列の改善を図るために用いられます。
②歯列矯正器具の種類の変更
最近では、さまざまなタイプの矯正装置が登場しており、
非抜歯で治療が可能な場合もあります。
例えば、「インビザライン」などの透明なマウスピース矯正装置では、
歯を少しずつ動かすことで、抜歯せずに歯列を整えることができるケースがあります。

③顎の成長を利用する
特に若年層の場合、顎の成長を促す装置(拡大床)を使うことで、
抜歯を避けながら矯正治療ができることがあります。

顎の発育が活発な時期を利用して、顎の広がりを促進する治療が有効です。
④アンカースクリューの使用
アンカースクリューは、歯を後方に移動させるための矯正装置で、
小さなネジ状の装置を歯溝骨に埋め込み、効率的に歯を動かすことができます。
抜歯が必要かどうかの判断基準
では、実際にどのようにして抜歯が必要かどうかを判断するのでしょうか?
診断と検査
抜歯が必要かどうかを決定するためには、
まずは詳細な検査を行います。
抜歯基準には『アーチレングスディスクレパンシー』という指標があります。
アーチレングスディスクレパンシーとは
歯列の長さと歯のサイズのバランスを評価するための指標です。
具体的には、歯が並ぶアーチ(歯列)の長さと、
実際にある歯のサイズの総和の差を比較した数値です。

上の画像は水色の線が歯を収容する歯列の長さで
赤い線は今ある歯を全て並べる為に必要な長さとなります。
見ての通り、歯のアーチ(水色の線)よりも赤い線の方が長いことが分かるでしょう。
この場合、歯が並ぶスペースが不足している=抜歯をしてスペースを確保する可能性が高いと言えます。
抜歯をし治療を終えた写真が以下となります。

抜歯をしてスペースを作ったことにより、歯槽骨という決められたスペースの中に
きれいに歯が並びました。
当院では、検査時にデジタルスキャンしたお口の中のデータから模型を作ります。

その模型の歯を1歯ずつ測定し、数値化することで
歯と歯列のバランスをみます。
これが抜歯が必要かどうかの判断基準のひとつとなります。
他の検査には以下のようなものがあります。
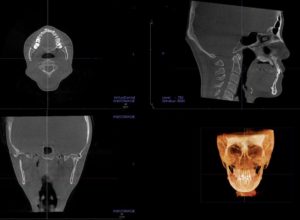
CT撮影
歯や顎の骨の状態を確認します。
顔の輪郭や口元の評価
顔のバランスや口元の美しさを考慮します。
セファロ分析では規格にそって撮影された患者さんの頭部のレントゲンをトレースし、
様々な計測点・平面の角度などから得られた数値を、いくつかの基準値と比較することで
診断・治療計画の立案を行っています。


抜歯のメリットとデメリット
抜歯を行う場合には、次のようなメリットとデメリットがあります。
メリット
歯並びが整いやすい
抜歯によってスペースが確保され、歯を動かしやすくなります。
噛み合わせの改善
歯並びを整えることで、噛み合わせが改善され、顎や歯への負担が減ります。
顔全体のバランスが整いやすい
特に前歯が突出しているケースでは、抜歯することで歯を後退させスペースを確保し、
横顔のラインや顎の位置を整えることができます。
デメリット
治療期間が長くなる場合がある
抜歯後の回復期間が必要であり、治療期間が長くなることがあります。
抜歯によるダメージや不快感
抜歯そのものは局所麻酔下で行われるため処置中の痛みはほとんどありません。
麻酔が切れた後、痛みや腫れが出る場合がありますが、
これらの症状は通常1日~数日で改善されます。
抗生物質を処方通り服用するなど治療後のケアを適切に行えば問題ありません。
むしろ非抜歯で無理に歯を動かす方が、歯根の露出や歯茎の退縮など
長期的なダメージが大きいこともあります。
また健康な歯を抜くという行為に抵抗がある患者さんもいらっしゃいます。
しかし矯正治療の結果として得られる美しさや機能性の向上を考慮すれば、
この選択が最良であるケースと考える方がほとんどです。
どの歯を抜く?
矯正のために抜歯する場合、以下の点に考慮し抜歯する歯を決定します。
噛むのに影響しない
歯並びをスムーズに整えられる
見た目への影響が出にくい
これらの点から、第一小臼歯もしくは第二小臼歯を抜歯することが最も多いです。

【まとめ】
矯正治療で抜歯が必要かどうかは、個々のケースによって異なります。
当院では、治療計画を立てる上で
まず「なるべく抜歯をしない方法」を検討します。
しかし、「非抜歯では主訴が十分に改善できず、治療上のリスクを高めてしまう」
場合には抜歯を選択します。
抜歯をしないことが目標ではなく、
患者さんの「主訴を改善し、機能的な咬合と審美的な口元のライン」が治療のゴールなのです。
歯科医師とよく相談し、自分に最適な治療方法を選択することが重要です。
抜歯を行うことで治療がスムーズに進む場合もあれば、
抜歯を避ける方法で治療を進められる場合もあります。
いずれにせよ、患者さん自身の希望やライフスタイル、治療の目標に合わせて、
最適な方法を見つけていきましょう。
矯正治療を通じて、より健康的で美しい歯並びを手に入れることを目標に
まずは自分の歯の状態を理解するために、歯科医院で口腔内を診てもらいましょう。
最終的な診断は精密検査後となりますが、現状を詳しく丁寧に説明してくれる歯科医院選びも大切です。
カウンセリングご希望の方はお電話もしくは公式LINEからご予約受付中です!
ご質問もお気軽にどうぞ!

お問い合わせお待ちしております。
みずの矯正歯科
TEL:052-981-2211
MAIL:info@mizuno-kyouseishika.com
<診療時間>
平日:10:00~13:00 14:30~19:00
土日:10:00~13:00 14:30~18:00
休診日:月曜、木曜、日曜(隔週)、祝日




