インビザラインとは?
インビザラインは、透明なマウスピースを使って歯並びを矯正する方法で、
目立たず快適に治療を進められることが大きな特徴です。

インビザライン治療には時として「アタッチメント」という
小さな突起を歯の表面につける必要があります。
今回は、インビザラインのアタッチメントについて、その役割と重要性について解説します。
目次
《アタッチメントとは?》
アタッチメントとは小さなプラスチック製の突起物のことです。
このアタッチメントを必要な歯に直接取り付けます。
この突起物は、歯科用の樹脂(プラスチック)で出来ており、
むし歯治療の時にも使われている素材で歯とほぼ同色です。
歯にマウスピースがぴったりフィットし、
歯を効果的に動かすための補助的な役割を果たします。
アタッチメントは歯の動きに合わせて取り付け、取り外しが必要な場合もあります。
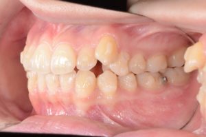
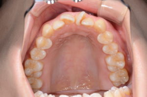
では実際のアタッチメントはどのようなものか下の画像を見ていただきましょう。
インビザラインのクリンチェックという治療計画表では
アタッチメントが分かりやすいようにピンク色で表示されます。


クリンチェックで表示されている通りにアタッチメントをつけた口腔内です。


歯とほぼ同色の材料を使うため、非常に目立ちにくいです。
《なぜアタッチメントが必要なのか?》
インビザラインは、透明なマウスピースで歯を少しずつ動かしていく方法ですが、
マウスピース自体は基本的に歯に密着していないため、
歯を動かす力を十分に発揮するのが難しい場合があります。
特に歯を大きく動かす必要がある場合や、複雑な動きを必要とする場合には
アタッチメントが役立ちます。
アタッチメントは、以下のような効果があります。
①歯の動きをコントロールする
アタッチメントがあることで、歯の動きを精密にコントロールできるため、
効果的な歯の移動が可能になるため治療期間の短縮に繋がります。
②マウスピースのフィット感を改善する
アタッチメントは、マウスピースと歯がより密着するようにサポートします。
しっかりと歯にフィットし、歯を正確に動かすことができます。
③複雑な歯の動きに対応する
歯の回転や傾きなど、複雑な動きを必要とする歯にはアタッチメントが効果的です。
これにより、マウスピースを装着するだけでは難しい動きも可能になります。
《アタッチメントの種類》
アタッチメントにはいくつかの種類があります。
治療の進行に合わせて、必要なアタッチメントが決定されます。
代表的なものをいくつかご紹介します。
①オープンバイト用アタッチメント

奥歯を噛み合わせたときに上下の前歯にすき間ができる
「開咬」の治療に用いられるアタッチメントです。
上の前歯にアタッチメントを装着し、歯を引っ張り出す
「挺出(ていしゅつ)」の動きを促します。
②ディープバイト用アタッチメント

噛み合わせが深く、上の前歯によって下の前歯がほとんど見えなくなる
「過蓋咬合」の治療に用いられるアタッチメントです。
下の前歯にアタッチメントを装着し、歯を挺出することによって噛み合わせの深さを改善します。
③ルートコントロール用アタッチメント

すきっ歯や傾いている歯の治療に用いられるアタッチメントです。
歯根の動きを助けるもので、1つの歯に2つのアタッチメントを装着します。
前歯に装着することが多いアタッチメントです。
④回転用アタッチメント

ねじれている歯の治療に用いられるアタッチメントです。
回転させたい方向に斜面がついたアタッチメントを装着し、正しい向きに歯を整えます。
主に使用される歯は、犬歯や奥歯です。
⑤アンカレッジ用アタッチメント

抜歯が必要な重度の出っ歯や受け口、叢生などの治療に用いられるアタッチメントです。
歯科矯正では歯を動かすスペースを作るために、抜歯が必要になることがあります。
インビザラインは移動量が大きい症例には対応できないことがありましたが、
アンカレッジ用最適アタッチメントが登場したことによって矯正可能になる症例が増えました。
両隣の歯が抜歯したスペースに倒れることなく、
きれいにすき間を埋められるように設計されたアタッチメントを装着します。
《アタッチメントがあることでのメリット》
①治療効果の向上
アタッチメントがあることで、歯をより正確に動かすことができ、治療の効果が向上します。
特に歯が大きく動く場合や、歯が回転するような治療には不可欠な存在です。
②治療期間の短縮が可能
アタッチメントがあることで、治療がより効率的に進み、治療期間を短縮することができます。
③目立たない
アタッチメントは小さく目立たないため、治療中も外見に大きな影響を与えることはありません。
透明なマウスピースと組み合わせて使うことで、矯正していることに気づかれにくくなります。
《アタッチメントが気になる場合》
アタッチメントを付けることに不安や抵抗を感じる患者さんもいるかもしれません。
しかし、アタッチメントは治療の効果を高めるために必要なものであり、
見た目に与える影響はほとんどありません。
特に、インビザライン治療中に目立たないように工夫されていますので、
周囲の人に気づかれることは少ないでしょう。
また、アタッチメントは必要に応じて変更されたり、治療が進む中で取り外されたりします。
もちろん最終的には完全に取り外します。
短期間で効果的に治療を進めるために重要な役割を果たしていることを理解していただけると、
より安心して治療を受けることができるでしょう。
《まとめ》
インビザライン治療の中でアタッチメントは
歯をより正確に、効率的に動かすために必要な補助的なツールです。
アタッチメントがあることで、治療効果が向上し、よりスムーズに歯並びを整えることができます。
見た目にもほとんど影響を与えないため、安心して治療を受けることができるのが特徴です。
自分の治療に最適な方法を選んで、健康で美しい歯並びを手に入れましょう。
カウンセリングご希望の方はお電話もしくは公式LINEからご予約受付中です!
ご質問もお気軽にどうぞ!

お問い合わせお待ちしております。
みずの矯正歯科
TEL:052-981-2211
MAIL:info@mizuno-kyouseishika.com
<診療時間>
平日:10:00~13:00 14:30~19:00
土日:10:00~13:00 14:30~18:00
休診日:月曜、木曜、日曜(隔週)、祝日


