舌の位置・飲み込み・唇の力が歯並びを細くする理由と、
今日からできる対策
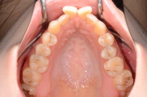
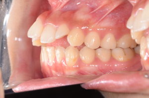
上の歯列がキュッとV字に細くなっている――。

「見た目の印象が気になる」「歯が重なってガタガタしてきた」
という方は少なくありません。
実はその裏には、舌の位置・飲み込み方・唇や頬の力といった
日常の“クセ”が深く関わっています。
今回はその仕組みと、今日からできる改善トレーニング(MFT)をご紹介します。
なぜ歯列がV字に細くなるの?
舌の位置が前に出すぎる
飲み込むときに舌先が上の前歯の裏を押していませんか?
このクセがあると、前歯は少しずつ前に押され続け、歯列全体も前に開く力が加わります。

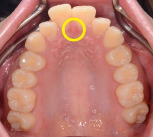
理想の舌の位置(=「スポット」)は、上あごの前歯の少し後ろの天井部分。
舌先をここに置き、前歯を触らずに飲み込むのが正しい位置です。

唇をすぼめる癖が頬の圧力を上げる
舌が前に出やすい人は、液体をこぼさないように唇をギュッとすぼめがち。
このとき頬の内側の圧力(頬圧)が上がり、歯列を横から押し込む力が働きます。
結果、歯列は横幅を失い、上あごがV字にすぼまっていきます。
口呼吸・食いしばりも悪化要因
口で呼吸する癖があると、舌は下がり、上あごを支える力が減ります。
さらに食いしばりや歯ぎしりは、頬や唇の筋肉を強く使うため、歯列を内側に押し込みがち。
その積み重ねが“V字化”を加速させます。
今日からできる!簡単MFTトレーニング
1日10分程度、鏡の前で行うのがポイントです。
4週間のステップで少しずつ「正しい舌と口の使い方」を身につけましょう。
Week1:舌の位置を知る(スポットを覚える)
舌先を上あごのスポットに軽く当てて3分キープ × 1日3回
唇は軽く閉じて鼻呼吸。あごにシワができないよう力を抜きましょう。
Week2:前歯を押さずに飲み込む
スポットに舌を置いたまま、小分けに3回飲み込む × 1日3回
「前歯を一切押さない」意識を持つのがコツ。
Week3:頬と唇の力を抜く
口角・あごの力を抜いて3分 × 1日2回
ストロー飲みは控え、コップで自然に飲む練習を。
Week4:習慣にする
食事の前に「舌をスポットへ」30秒意識
就寝前に3分セット(スポット→飲み込み→リラックス)
※鼻づまりがある日は無理せず、まず鼻呼吸を整えましょう(加湿・温湿布なども有効)。
セルフチェックで今の状態を確認
✅舌先は安静時に上あごのスポットにある?
✅飲み込む時、前歯を押していない?
✅上の歯列はU字よりV字に見える?
✅口呼吸や朝の口の乾きがある?
ひとつでも当てはまる場合、MFTを取り入れる価値ありです。
矯正と組み合わせるとさらに効果的
MFTで筋肉の使い方を整えながら、矯正治療で形を正すと効果が長持ちします。
近年は**非抜歯での治療(IPRや顎間ゴム)**も増えており、
自然な口元に仕上げる選択肢が広がっています。
仕上げは「保定」と「習慣の継続」
矯正後は、リテーナー(保定装置)とMFTを継続して、後戻りを防ぐことが大切です。
リテーナーの装着を続けながら、日常の舌位・鼻呼吸・リラックスした口元を習慣化しましょう。
まとめ
V字の歯並びは、舌の位置・飲み込み方・唇や頬の力が大きく関係します。
MFT(口腔筋機能療法)で「形を作る力」を正しい方向へ導けることを覚えておきましょう!
矯正治療と組み合わせれば、見た目と機能の両立が可能
ご質問もお気軽にどうぞ!
カウンセリングご希望の方はお電話もしくは公式LINEからご予約受付中です!

お問い合わせお待ちしております。
みずの矯正歯科
TEL:052-981-2211
MAIL:info@mizuno-kyouseishika.com
<診療時間>
平日:10:00~13:00 14:30~19:00
土日:10:00~13:00 14:30~18:00
休診日:月曜、木曜、日曜(隔週)、祝日


