こんにちは衛生士の小木曽です🌹👀
今日は🦷🦷 矯正歯科における
🌱舌の突出癖とは?またその癖の発見方法とは?
🌱正しい舌の位置とは?
🌱舌の突出癖で起こることとは?
についてお話しさせていただきます💁♀️💫
1🌱 舌の突出癖とは?
まず初めに舌突出癖を知っていますか?
舌を前に出す癖のことです。
ではその癖がいつ起こるのか💡
→発音時、嚥下(何かを飲み込む際) ,無意識時(何もしていない普段)に起こります🔌
ん!?そんな事してない!
と思われる方もいらっしゃるかもしれません🌱
では鏡を見て
上下の歯をしっかり噛み、笑った状態で、
ごくんと唾液を飲みこんでみて下さい!
その時
舌が歯と歯の間から出ていませんか?

2🌱 正しい👅の位置とは?
このように舌の先が常に上の前歯の後ろ(スポット)に触っています。

これが普段の正しい👅の位置です。
歯科矯正治療関係なく、すべての皆さんが
無意識下で、👅がこの位置にあることが理想であり、普通です。

🙅♀️舌先が前歯に触れている
🙅♀️前歯を👅が押している
🙅♀️舌の後方が奥歯にはみ出し触れている
こう言った舌の癖がある場合に
歯並びに影響を及ぼす事が多いです🦷
3🌱 舌の突出癖で起こることとは?
👅が無意識に前の歯をぐーっと押すことで、
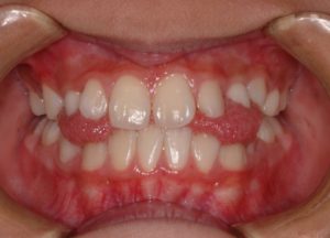
上顎前突🔸出っ歯な噛み合わせ


交叉咬合🔸上の歯と下の歯が交叉(クロス)したような噛み合わせ


開口🔸上の歯と下の歯で噛んだ際(咬合した際)に前歯が開いている噛み合わせ


舌が入る隙間があるのがわかりますか?💡
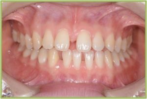
正中離開🔸前歯の1番目の歯が左右に離れる(離開する)

の原因となる事があります🦷
また舌のくせが矯正治療に及ぼす影響として🙅♀️🙅♀️

*矯正歯科治療後の後戻りの原因になる!💁♀️
せっかく長い時間をかけてきれいな歯並びになるよう矯正治療をしたはずが…
元の歯並びに戻ろうとするので…
*矯正歯科治療期間が延びてしまう!💁♀️
💡→舌のくせが残っていると、舌で歯を押してしまい
歯並びが安定しにくくなります。
💡→舌のくせがあると矯正器具の機能を妨げてしまいます。
🦷💡さらにこういった舌癖があると➔
歯並びだけでなく話す際の発音へも影響が出てくるようになります。
サ行(さしすせそ)やタ行(たちつてと)の音に影響を与えることが多くなります!👄
分かりやすく例えると、舌足らずな話し方です。
こういった舌の癖を
早く見つけ出し、正しい舌の位置での嚥下、発音のトレーニングを目的として行うことを
MFT(口腔筋機能療法)といいます。👅🦷

みずの矯正歯科、当院ではほぼ全ての患者様に歯科衛生士による
MFT(口腔筋機能療法)を一人一人に合わせ行っています。
気になる方はご連絡をお願い致します🤲
いつでも無料カウンセリング受付しております。
土日、お時間帯によってはご案内に日数を要することもありますので
お早目にご連絡をお願いします🤲
☎️ 052-981-2211
ライン、メール、ホームページからもご予約受け付けております。✨✨
インスタグラムも更新しています。🎀



